Мы используем куки для лучшего взаимодействия с посетителями сайта. Политика конфиденциальности
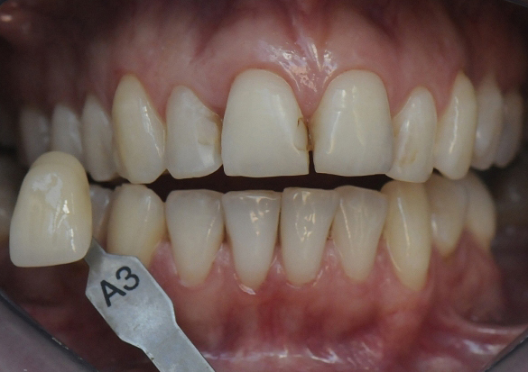
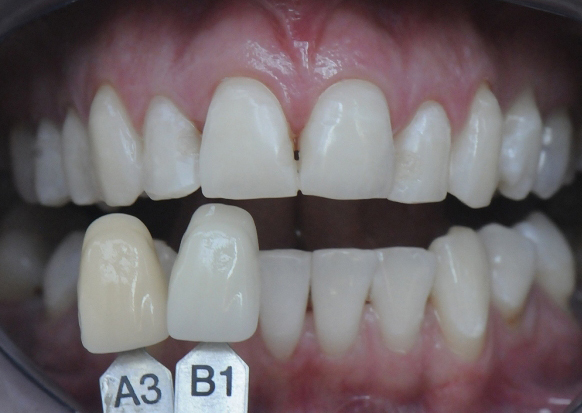
ОТБЕЛИВАНИЕ ЗУБОВ ZOOM4
Подробнее о процедуре
Профессиональное отбеливание зубов в Нижнем Новгороде
Стоматология Обели
ул. Деловая, д. 24/2
Стоимость от 35 000 рублей

ОТБЕЛИВАНИЕ ЗУБОВ ZOOM4

О ПРОЦЕДУРЕ

О ПРОЦЕДУРЕ

Philips ZOOM! WhiteSpeed, является 4 поколением системы клинического отбеливания Philips ZOOM.
99% протестированных пациентов не испытывали или практически не испытывали чувствительности в процессе отбеливания
На 55% более белоснежные зубы по сравнению с безламповым отбеливанием
Ваши зубы станут белее до 8 оттенков за 45 минут
Инновационная технология
Безопасно для здоровья
Сияющий результат
За один визит
В чем особенность процедуры
Помните, что для получения ожидаемого результата, главным условием является выбор лечащего врача. Процедуру отбеливания в нашей клиники проводит врач-стоматолог высшей категории. Мы гарантируем высокое качество предоставляемых услуг!
Нужна консультация?
Оставьте свой телефон и мы перезвоним в течение 30 минут
Как это работает?

Как это работает?

Подготовка
Отбеливание
Завершающий этап
Перед процедурой отбеливание, врач-стоматолог проведет полную профгигиену полости рта, для избавления от зубного налета и камня.
Процедура начинается с изолирования десен с помощью специального состава, для предотвращения ожогов десны. Затем наносится отбеливающий гель, который активируется под действием LED-света. Проводится как минимум три таких сеанса по 15 минут.
После процедуры отбеливания, врач-стоматолог проведет фторирование зубной эмали, чтобы укрепить зубы и исключить чувствительность. А вам мы подарим средства по поддержанию результата и реминирализации эмали зубов
1
2
3
ВОПРОС-ОТВЕТ

ВОПРОС-ОТВЕТ

вопрос:
Безопасно ли отбеливание зубов?
Ответ:
Да! Клинические исследования показывают, что отбеливание зубов с использованием перекиси водорода или перекиси карбамида под наблюдением стоматолога безопасно для ваших зубов и десен.
вопрос:
Какие могут быть побочные эффекты?
Ответ:
Возможный побочный эффект - чувствительность зубов. Однако существуют препараты которые избавят от данного неприятности.
вопрос:
Как долго сохраняется результат?
Ответ:
Отбеливание улучшает существующий цвет зубов, но употребление кофе, красящих продуктов и возрастные изменения постепенно могут снова изменить цвет ваших зубов. Для поддержания полученного результата рекомендуется использовать домашнее отбеливание. Только домашнее отбеливание Philips ZOOM! содержит аморфный фосфат кальция, что позволяет максимально сохранить белизну зубов.
вопрос:
Почему стоит выбрать Philips ZOOM?
Ответ:
Многочисленные клинические исследования подтверждают безопасность и эффективность отбеливающей системы Philips ZOOM!
КТО ПРОВОДИТ ПРОЦЕДУРУ

КТО ПРОВОДИТ ПРОЦЕДУРУ

Зельцер Вера Георгиевна
Терапевт
21
год
ЗАПИШИТЕСЬ НА КОСНУЛЬТАЦИЮ

ЗАПИШИТЕСЬ НА КОСНУЛЬТАЦИЮ

Врач осмотрит Вас, при необходимости назначит дополнительные анализы, после чего поставит диагноз и предложит несколько вариантов решения проблемы.
Вы сможете выбрать оптимальный для Вас , после чего врач составит план лечения со сроками и стоимостью.
Оставляя свои контактные данные, вы подтверждаете свое совершеннолетие и соглашаетесь на обработку персональных данных

Лицензии и сертификаты

Медицинская лицензия
Награды
Сертификаты соответствия
Error get alias
26 ноября 2024
Обращался в клинику для удаления зубов мудрости, потому что очень беспокоило. Артур Михайлович отличный специалист, процедура прошла безболезненно и быстро. Спасибо.
31 Октября 2024
Очень понравилось в первую очередь отношение. Щепетильность в изучении моего вопроса. Поверил в доктора, готов следовать инструкциям. Впечатлило то, что доктор обнадеживает, это уже хорошо, потому что встречал варианты совсем противоположные. Доктор не навязывает дорогущие услуги сразу с порога. Наоборот, даже отговаривает. Предлагает варианты и этапы. Все понятно разжевывает, все объясняет, как ребёнку. Столько врачей и клиник объехал, и каждый вызывал сомнения. Доволен, что обратился, советую.
4 Июня 2024
Я обратилась в клинику по поводу лечения зубов​ и замены старых пломб к Зельцер Вере Георгиевне. Лечение проходило комфортно и безболезненно. Результатом состояния своих зубов очень довольна. Спасибо!
22 Декабря 2023
Добрый день! Всю жизнь боялся стоматологов, но с приходом в клинику "Обели" этот страх уйдет навсегда.  Решил в клинике несколько вопросов у нескольких врачей. Лучшие врачи - Лариса Юрьевна, стоматолог с большой буквы! Всегда подскажет, поможет, решит любые вопросы.
9 Февраля 2024
Первый раз обратилась в клинику в октябре 2023 г. к Вагановой Ларисе Юрьевне, как ко врачу-пародонтологу. Доктор мне очень понравилась, так как подходит к лечению пародонтита​ комплексно. Отправила меня на сдачу анализов​ и к гастроэнтерологу для выяснения причины заболевания. Врачи - профессионалы своего дела. Очень благодарна за их труд!

30 Марта 2023
Проходил чистку зубов​ и осмотр. Все быстро, качественно и удобно. Хожу каждые полгода. Видимо поэтому очень не часто приходится лечить зубы. Скорее иногда приходится исправлять «старые ремонты». Запись удобная, за сутки идет напоминание. Всегда напомнят и через полгода об осмотре.
11 Июля 2022
Лечила зубы у Веры Георгиевны, очень внимательный и чуткий терапевт. Вселяет уверенность то, что весь процесс лечения проходит под контролем главного врача - Ларисы Юрьевны. Ортопеду Руслану Викторовичу отдельное спасибо за качественную и профессиональную работу!
16 Июня 2022
Комфортное место и современное оборудование. Лечу зубы с удовольствием. Спасибо Вере Георгиевне, все расскажет подробно и покажет.
20 Июня 2022
Уже не первый раз посещаю данную клинику. Смогли поставить пломбу на безнадёжный зуб, после трёх горе-мастеров. Второй раз попала экстренно, раскололся зуб, смогли сохранить корень и поставить коронку. Делала чистку зубов у них. Мне очень нравится все: и доктора, и сервис, и, конечно, качество работы! Однозначно рекомендую!