Мы используем куки для лучшего взаимодействия с посетителями сайта. Политика конфиденциальности
Подробнее о процедуре
Высокая стоматологическая эстетика в Нижнем Новгороде
Стоматология Обели ул. Деловая, д. 24/2
Стоимость от 29 000 рублей

Керамические коронки

Цены на керамические коронки

Цены указанные на сайте могут отличаться от действующих цен клиники на текущий момент. Подробности уточняйте у администраторов
Консультация врача-ортопеда с оставлением плана ортопедического лечения
1 500 руб.
Снятие слепков челюсти интраоральным 3d-сканером (одна челюсть)
4 500 руб.
Пластмассовая коронка с использованием цифрового моделирования CAD/CAM
5 800 руб.
Демонстрационное компьютерное моделирование
15 000 руб.
Безметалловая керамическая коронка на имплант
29 000 руб.
Безметалловая керамика на оксиде циркония, аллюминия, E-max (винир, коронка, вкладка)
30 000 руб.
Восстановление зуба безметалловой коронкой на имплантат (на циркониевом каркасе, E.MAX) по технологии CAD/CAM
36 000 руб.
Наши преимущества
Экспертность
Клиника OBELI BIO основана врачом-стоматологом с 30 летним стажем.
Гарантия результата
Пациентам клиники OBELI BIO всегда окажут должную помощь. Эффективность протезирования доказана клинически.
Превосходная репутация
Главный врач Ваганова Лариса Юрьевна известна в Нижнем Новгороде, и за его пределами.
1
2
3
4
Преимущества керамических коронок
Безупречная эстетика: керамическая коронка под ключ идеально имитирует природный зуб, с подбором индивидуального оттенка
Биосовместимость: гипоаллергенный материал обеспечивает комфортное взаимодействие протеза со слизистой.
Долговечность: при надлежащем уходе, срок службы превышает 20 лет.
Комфорт: процесс установки абсолютно безболезнен, благодаря использованию анестезии.

Показания и противопоказания

Показания к установке коронок керамических включают:
При этом существуют и следующие противопоказания:
  • Значительное разрушение зуба, когда пломба уже не может восстановить его целостность;
  • Изменение цвета зуба, которое можно исправить с помощью керамической коронки, восстанавливающей естественный цвет или изменяющей его на желаемый оттенок;
  • Неправильная форма или положение зуба;
  • Повышенная стираемость зубной эмали, которую можно защитить с помощью керамической коронки;
  • Период после эндодонтического лечения, когда ослабленный зуб требует защиты;
  • Необходимость восстановления целостности прикуса, когда керамические коронки могут быть частью комплексного лечения;
  • Высокие эстетические требования, когда керамические коронки обеспечивают максимально естественный внешний вид.
  • Сильный бруксизм, который может привести к сколам и разрушению керамической коронки при протезировании;
  • Пародонтит в активной фазе;
  • Аллергия на компоненты материала, которая хотя и редка, но возможна;
  • Недостаточный объем здоровой ткани зуба, который необходим для надежной фиксации коронки;
  • Несоблюдение гигиены полости рта, которое может привести к развитию кариеса под коронкой или воспалению десен;
  • Заболевания внутренних органов, влияющие на процесс заживления;
  • Беременность и период лактации, когда установка коронок обычно откладывается на период после родов и окончания грудного вскармливания.
Нужна консультация?
Оставьте свой телефон и мы перезвоним в течение 30 минут

Способы установки

  • На свой зуб

    Этот метод применяется, когда сохранена значительная часть здоровой коронковой части зуба и требуется лишь эстетическое или функциональное улучшение. С помощью прецизионного инструментария, эмаль и дентин на необходимую глубину обрабатываются по всем сторонам зуба для создания опоры под будущую коронку. После этого формируется культевая поверхность, снимаются слепки, и в лаборатории изготавливается индивидуализированный протез.
  • На штифт

    Эта техника используется в случаях существенного разрушения зуба, особенно моляров, когда сохранение естественного корня необходимо. Прежде всего, проводят лечение корневых каналов (депульпирование). В каналы устанавливается штифт, который служит основой для формирование культи. Культя, в свою очередь, наращивается пломбировочным материалом, и по нему снимаются слепки для изготовления коронки.
  • На имплант

    В случаях отсутствия зуба, имплантация становится незаменимым решением. На вживленный имплантат устанавливается коронка, которая фиксируется с помощью адгезивного цемента или винтовых креплений, предоставляя полную функциональность и эстетику.

Этапы установки керамических коронок

  • Подготовка зуба: Обезболивание, снятие наслоений, моделирование и подгонка формы для фиксации будущей коронки. Часто необходима препарирование (обтачивание) зуба;
  • Оттиск: Снятие точного зубного слепка с помощью специальных материалов;
  • Изготовление коронки: В зуботехнической лаборатории по слепку изготавливается керамическая коронка;
  • Проверка и подгонка: Установка временной коронки (если требуется) и проверка окончательной коронки по размеру и форме;
  • Фиксация коронки: Закрепление коронки на зубе с помощью цемента;
  • Последующий контроль: Обследование состояния коронки и прилегающих тканей через определенный период времени.

Наши врачи

Бабкин Руслан Викторович
Врач-ортопед
12
лет

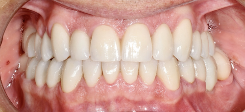
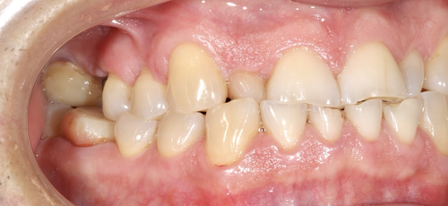
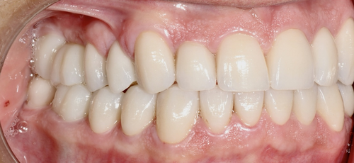
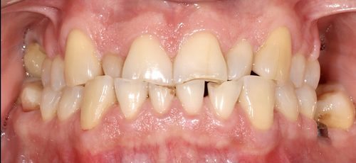
Примеры работ До/После

После установки керамических виниров №1
До установки керамических виниров №1
После установки керамических виниров №2
До установки керамических виниров №2
До установки керамических виниров №3
После установки керамических виниров №3
Продолжительность: 1 месяц
Дата окончания: Август 2024г.
Врач: Бабкин Руслан Викторович
До
После
Услуга: Тотальное протезирование
Пациент с проблемами износа и потери зубов, а также недовольный внешним видом своей улыбки, обратился к Руслану Викторовичу Бабкину. Врачом был предложен следующий план лечения:
— Сканирование зубных рядов для диагностического моделирования и создание «мокапа», который позволит оценить будущий результат.
— Изготовление и установка временных коронок, что поможет деснам привыкнуть к новым формам и обеспечит возможность «протестировать» новые зубы до их окончательной установки.
— Примерка и фиксация 28 единиц коронок, изготовленных из инновационной керамики высочайшего качества.
Таким образом, была завершена вся цепочка медицинских процедур, направленных на восстановление здоровья полости рта и зубочелюстной системы.
Ортодонтическая коррекция
Терапевтическое лечение зубов
Хирургическое лечение
С использованием инновационных технологий, в частности, эластокорректора и элайнеров StarSmile, удалось нормализовать прикус, приведя его из патологического состояния к физиологическому, улучшив тем самым функции жевательной системы.
Этот этап включал устранение кариеса и его последствий, а также лечение сложных форм периодонтита.
Экстракция двух зубов, которые не подлежат восстановлению. Установка четырех имплантов Osstem.
Предварительно было проведено следующее лечение:
В профессии уже больше 30 лет, работала в Областной стоматологической поликлинике и частных клиниках. Участвовала в российских и международных конференциях, проходила обучение в России и Германии. Накопленный опыт и знания, а главное, трепетное отношение к каждому пациенту помогли мне открыть свою клинику в Нижнем Новгороде.
БИО стоматология означает, что:
Ваганова Лариса Юрьевна
Главный врач и основатель БИО стоматологии OBELI
В лечении мы используем био-активные материалы
Мы нацелены на сохранение ваших зубов от удаления
Находим и устраняем причину стоматологического заболевания
1
2
3
О клинике OBELI BIO
Лицензии и сертификаты
Медицинская лицензия
Награды
Сертификаты соответствия
Вопросы и ответы
Какова средняя продолжительность службы коронок из керамики?

Для керамических коронок средний срок службы, при должном уходе и выполнении рекомендаций стоматолога, может составлять около 25 лет. Срок службы коронок зависит от индивидуальных особенностях человека.

Какой уход необходим керамическим коронкам?

Коронкам, как и натуральным зубам человека, необходима - регулярная, грамотная гигиена полости рта и посещение стоматолога, через определенные периоды времени.

Сколько составляет стоимость установки коронок из керамики?

Стоимость зависит от того, какие манипуляции проводятся в каждом конкретно случаи, и в среднем составляет: 37 000 - 56 000 руб.

Отзывы

26 ноября 2024
Обращался в клинику для удаления зубов мудрости, потому что очень беспокоило. Артур Михайлович отличный специалист, процедура прошла безболезненно и быстро. Спасибо.
31 Октября 2024
Очень понравилось в первую очередь отношение. Щепетильность в изучении моего вопроса. Поверил в доктора, готов следовать инструкциям. Впечатлило то, что доктор обнадеживает, это уже хорошо, потому что встречал варианты совсем противоположные. Доктор не навязывает дорогущие услуги сразу с порога. Наоборот, даже отговаривает. Предлагает варианты и этапы. Все понятно разжевывает, все объясняет, как ребёнку. Столько врачей и клиник объехал, и каждый вызывал сомнения. Доволен, что обратился, советую.
4 Июня 2024
Я обратилась в клинику по поводу лечения зубов​ и замены старых пломб к Зельцер Вере Георгиевне. Лечение проходило комфортно и безболезненно. Результатом состояния своих зубов очень довольна. Спасибо!
22 Декабря 2023
Добрый день! Всю жизнь боялся стоматологов, но с приходом в клинику "Обели" этот страх уйдет навсегда.  Решил в клинике несколько вопросов у нескольких врачей. Лучшие врачи - Лариса Юрьевна, стоматолог с большой буквы! Всегда подскажет, поможет, решит любые вопросы.
9 Февраля 2024
Первый раз обратилась в клинику в октябре 2023 г. к Вагановой Ларисе Юрьевне, как ко врачу-пародонтологу. Доктор мне очень понравилась, так как подходит к лечению пародонтита​ комплексно. Отправила меня на сдачу анализов​ и к гастроэнтерологу для выяснения причины заболевания. Врачи - профессионалы своего дела. Очень благодарна за их труд!

30 Марта 2023
Проходил чистку зубов​ и осмотр. Все быстро, качественно и удобно. Хожу каждые полгода. Видимо поэтому очень не часто приходится лечить зубы. Скорее иногда приходится исправлять «старые ремонты». Запись удобная, за сутки идет напоминание. Всегда напомнят и через полгода об осмотре.
11 Июля 2022
Лечила зубы у Веры Георгиевны, очень внимательный и чуткий терапевт. Вселяет уверенность то, что весь процесс лечения проходит под контролем главного врача - Ларисы Юрьевны. Ортопеду Руслану Викторовичу отдельное спасибо за качественную и профессиональную работу!
16 Июня 2022
Комфортное место и современное оборудование. Лечу зубы с удовольствием. Спасибо Вере Георгиевне, все расскажет подробно и покажет.
20 Июня 2022
Уже не первый раз посещаю данную клинику. Смогли поставить пломбу на безнадёжный зуб, после трёх горе-мастеров. Второй раз попала экстренно, раскололся зуб, смогли сохранить корень и поставить коронку. Делала чистку зубов у них. Мне очень нравится все: и доктора, и сервис, и, конечно, качество работы! Однозначно рекомендую!

Запишитесь на консультацию
Врач осмотрит Вас, при необходимости назначит дополнительные анализы, после чего поставит диагноз и предложит несколько вариантов решения проблемы.
Вы сможете выбрать оптимальный для Вас , после чего врач составит план лечения со сроками и стоимостью.
Оставляя свои контактные данные, вы подтверждаете свое совершеннолетие и соглашаетесь на обработку персональных данных